+918048059821
Currently it only shows your basic business info. Start adding relevant business details such as description, images and products or services to gain your customers attention by using Boost 360 android app / iOS App / web portal.

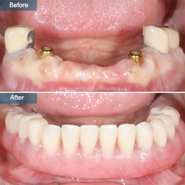
Implant dentures are a secure and comfortable solution for replacing multiple missing teeth. They are anchored to dental implants placed in the jawbone, providing better stability, improved chewing ability, and a more natural feel compared to traditional dentures.