+918048059821
Currently it only shows your basic business info. Start adding relevant business details such as description, images and products or services to gain your customers attention by using Boost 360 android app / iOS App / web portal.

Dental Implants in Dwarka
View Details
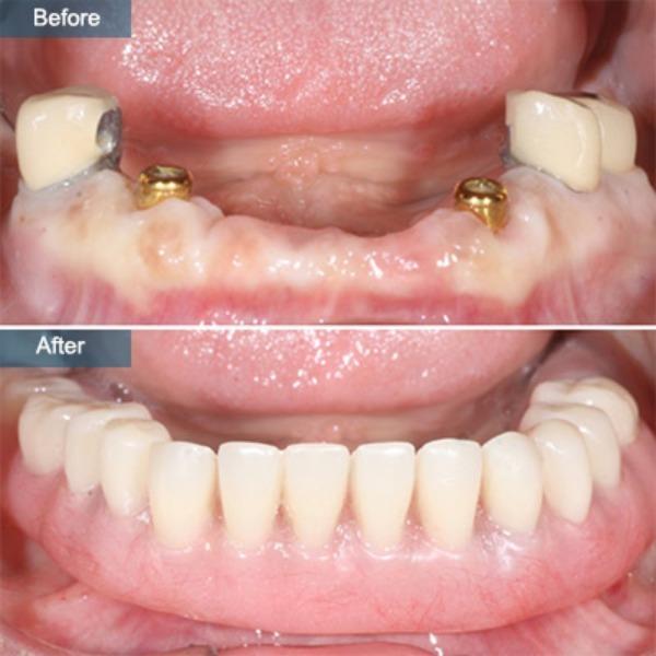
Implant dentures Treatment Near Dwarka Sector 9
View Details
Dental implant In Dwarka
View Details
Hair Loss Treatment in Dwarka
View Details
Implant Support Denture
View Details
Tooth Extraction
View Details
Kids Dental Treatments
View Details
Best dental implant treatment in Delhi.
View Details