+918048059821
Currently it only shows your basic business info. Start adding relevant business details such as description, images and products or services to gain your customers attention by using Boost 360 android app / iOS App / web portal.

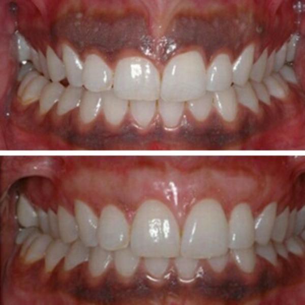
Gum Depigmention
View Details
Tattoo Removal
View Details
Carbon Laser Facial
View Details
Hair GFC
View Details
Face PRP
View DetailsFace PRP Treatment in Dwarka
View Details
Teeth Cleaning in Dwarka
View Details
Glutathione drips
View Details