+918048059821
Currently it only shows your basic business info. Start adding relevant business details such as description, images and products or services to gain your customers attention by using Boost 360 android app / iOS App / web portal.

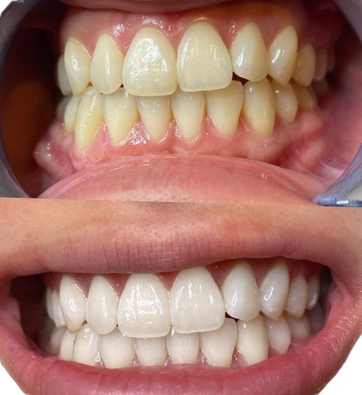
Teeth whitening is a popular cosmetic dental treatment that helps remove stains and discoloration, giving teeth a brighter and healthier appearance. It works by using safe whitening agents that break down stains caused by coffee, tea, smoking, aging, and certain foods. Professional teeth whitening provides faster and more effective results compared to over-the-counter products, with minimal sensitivity when done correctly. Dr. Ankita offers advanced teeth whitening treatments designed to enhance your smile safely while maintaining the natural strength of your teeth.