+918048059821
Currently it only shows your basic business info. Start adding relevant business details such as description, images and products or services to gain your customers attention by using Boost 360 android app / iOS App / web portal.

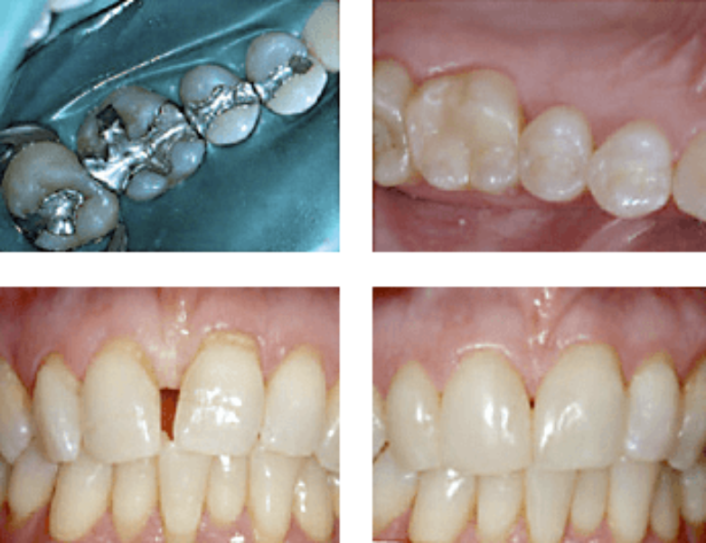
Teeth gap filling refers to dental treatments used to close small to moderate spaces between teeth, most commonly the front teeth, to improve appearance and sometimes function. Depending on the size of the gap and the patient’s dental health, options include dental bonding, where tooth-colored resin is applied and shaped in a single visit; veneers, which are thin porcelain or composite shells placed over the teeth for a longer-lasting cosmetic result; and orthodontic treatment such as braces or clear aligners for larger gaps or bite-related issues. The choice of treatment depends on the cause of the gap, cost, durability, and desired aesthetics, and a dentist can recommend the most suitable option after an examination. Best Dental Clinic In Dwarka Best Dental Treatment Near Dwarka sector 9 Best Dental treatment Near Dwarka sector 10 Best Dental clinic near Dwarka sector 7