+918048059821
Currently it only shows your basic business info. Start adding relevant business details such as description, images and products or services to gain your customers attention by using Boost 360 android app / iOS App / web portal.

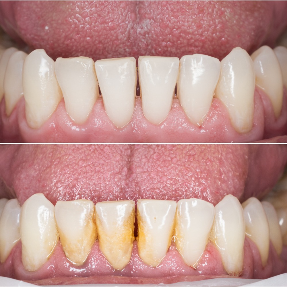
Teeth cleaning, also known as dental scaling and polishing, is a preventive dental procedure that removes plaque, tartar, and stains from the teeth. This treatment helps prevent gum disease, tooth decay, and bad breath while promoting overall oral health. During the procedure, specialized instruments are used to clean above and below the gum line, followed by polishing to smooth the tooth surfaces. Regular teeth cleaning keeps gums healthy, improves the appearance of teeth, and supports long-term dental hygiene.