+918048059821
Currently it only shows your basic business info. Start adding relevant business details such as description, images and products or services to gain your customers attention by using Boost 360 android app / iOS App / web portal.

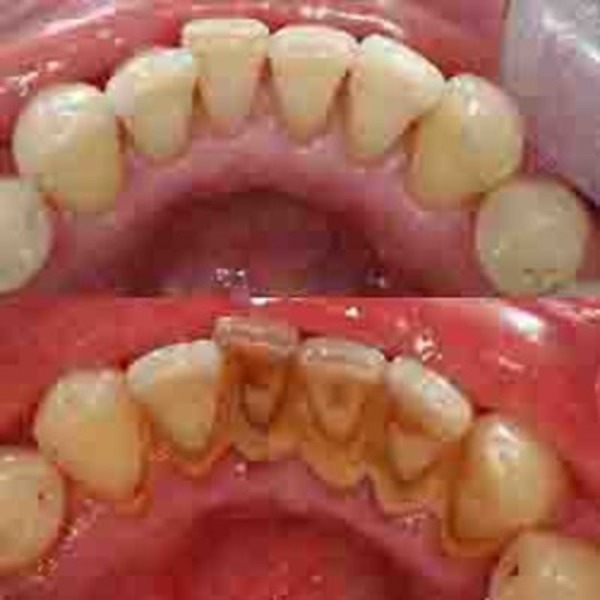
Scaling is a dental procedure used to clean teeth and remove plaque and tartar that build up on the surface of the teeth and along the gum line. During scaling, a dentist or dental hygienist uses special tools to carefully scrape away hardened deposits that cannot be removed by regular brushing or flossing. This treatment helps prevent gum disease, tooth decay, and bad breath. Scaling keeps the gums healthy and makes the teeth look cleaner and brighter. Regular scaling, along with good oral hygiene habits, helps maintain strong and healthy teeth.