+918048059821
Currently it only shows your basic business info. Start adding relevant business details such as description, images and products or services to gain your customers attention by using Boost 360 android app / iOS App / web portal.

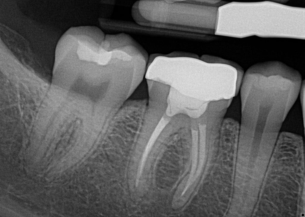
Root Canal Treatment RCT is a dental procedure used to treat infection or damage inside a tooth. It involves removing the infected pulp, cleaning and disinfecting the root canals, and sealing them to prevent future infection. RCT helps relieve pain, stop the spread of infection, and preserve the natural tooth instead of extracting it. With modern techniques and anesthesia, the procedure is safe, effective, and usually comfortable for patients. Dr. Ankita’s specialty lies in providing patient-focused dental care with an emphasis on precision, comfort, and long-term oral health. She is known for her careful approach to root canal treatments, using updated techniques and technology to ensure minimal discomfort and predictable results. Her focus on patient education and gentle care helps patients feel confident and at ease throughout their treatment.