+918048059821
Currently it only shows your basic business info. Start adding relevant business details such as description, images and products or services to gain your customers attention by using Boost 360 android app / iOS App / web portal.

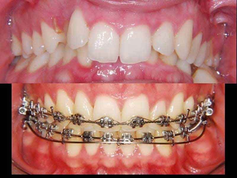
Orthodontic treatment is a dental procedure used to correct misaligned teeth and improper bites. It involves the use of braces, aligners, or other orthodontic appliances to gradually move teeth into their proper positions. This treatment helps improve chewing function, speech, and overall oral health, while also enhancing the appearance of the smile. The duration of orthodontic treatment varies depending on individual needs, but with proper care and regular checkups, it provides long-term functional and aesthetic benefits.