+918048059821
Currently it only shows your basic business info. Start adding relevant business details such as description, images and products or services to gain your customers attention by using Boost 360 android app / iOS App / web portal.

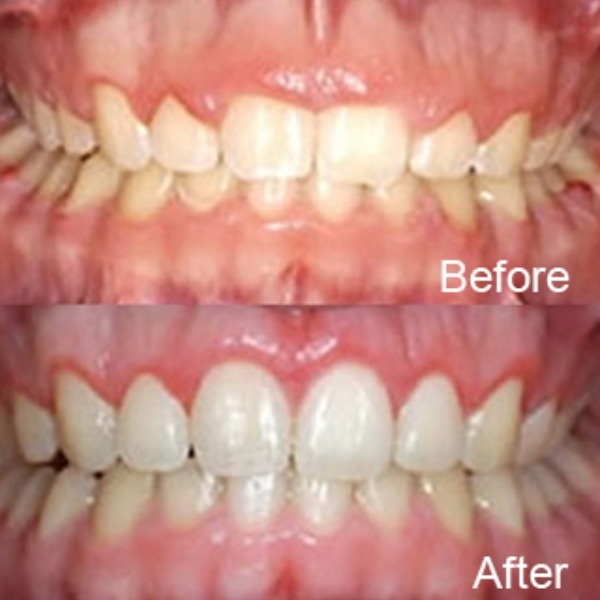
Gum cutting, also known as gum reshaping or gingivectomy, is a dental procedure used to remove excess gum tissue and improve gum health and smile appearance. It is commonly done to treat gum disease, reduce deep gum pockets, or correct a gummy smile. The procedure can be performed using traditional methods or laser technology, which helps reduce pain, bleeding, and healing time. Gum cutting makes teeth look more proportionate, improves oral hygiene, and enhances overall smile aesthetics.