+918048059821
Currently it only shows your basic business info. Start adding relevant business details such as description, images and products or services to gain your customers attention by using Boost 360 android app / iOS App / web portal.

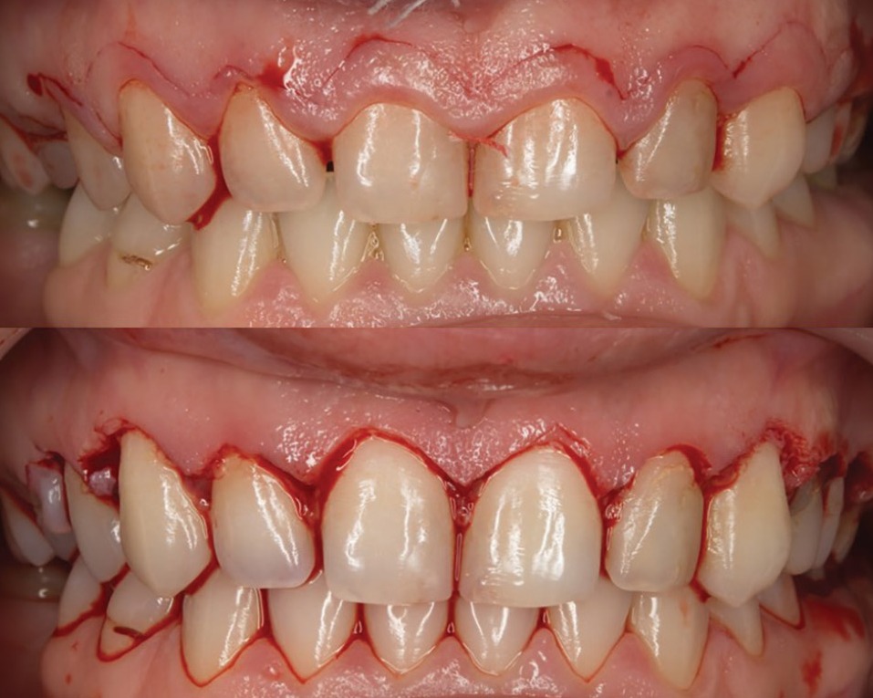
Gingivectomy or Gum contouring, is a dental procedure used to remove excess gum tissue and improve the appearance and health of the gums. It is commonly performed to treat gum disease, reduce gum pockets, or enhance a “gummy smile.” The procedure can be done using traditional surgical methods or laser technology, which helps minimize pain, bleeding, and recovery time. Gum cutting improves oral hygiene, tooth visibility, and overall smile aesthetics when proper aftercare is followed.