+918048059821
Currently it only shows your basic business info. Start adding relevant business details such as description, images and products or services to gain your customers attention by using Boost 360 android app / iOS App / web portal.

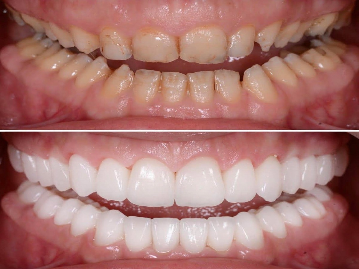
Full mouth rehabilitation is a comprehensive dental treatment that restores the health, function, and appearance of all the teeth in both the upper and lower jaws. It involves a customized combination of procedures such as crowns, bridges, veneers, implants, fillings, and gum treatments to address issues like tooth wear, decay, missing teeth, and bite problems. The goal is to improve chewing ability, speech, and smile aesthetics while ensuring long-term oral health.