+918048059821
Currently it only shows your basic business info. Start adding relevant business details such as description, images and products or services to gain your customers attention by using Boost 360 android app / iOS App / web portal.

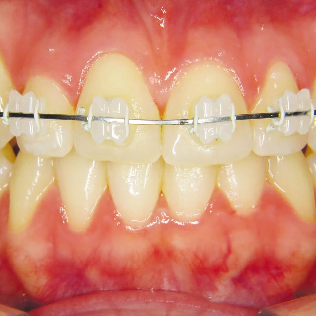
Ceramic braces are orthodontic appliances designed to straighten teeth using brackets made from tooth-colored or clear ceramic materials, making them less noticeable than traditional metal braces. They function in the same way as metal braces by applying continuous, gentle pressure to move teeth into proper alignment, but offer improved aesthetics, especially for adolescents and adults concerned about appearance. Ceramic braces are durable and effective, though they may require slightly more care to prevent staining and are sometimes more expensive than metal braces. Overall, they provide a balance between effective orthodontic treatment and a more discreet look. Best Ortho Treatment In Dwarka Best Dental Clinic Near Dwarka sector 7 Best dental Treatment Near Dwarka sector 9 Best Dental clinic Near Dwarka sector 10